GUMMY SMILE
Great smile is all about proportion between the teeth and the gums. In order have a great smile you need to know what gummy smile is.
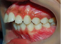
Q.what is gummy smile?
The proportion of the gums exposed when more than 3mm while smiling is known as gummy smile.
Cause of Gummy smile :
1)Abnormal tooth eruption.
2) Short upper lip.
3)Hyperactive Upper Lip.
4) Long Mid Face.
Treatment:
1)Laser gum gingivectomy / crown lengthening.
2)Lip repositioning.
3)Botox the upper lip.
4)Vertical maxillary impaction surgery.
Smile is our prime attribute. It can make people feel comfortable around, respond to you and make people to know you.
Have a good day
PARASU DENTAL HOSPITAL AND IMPLANT CENTRE
Address:-
NO 39 ALAGIRI STREET,
VELACHERY- TAMBARAM MAIN ROAD,
SANTHOSAPURAM ,CHENNAI -73
NO 39 ALAGIRI STREET,
VELACHERY- TAMBARAM MAIN ROAD,
SANTHOSAPURAM ,CHENNAI -73
CONTACT : +91 7299004333, +91 9952091102, + 91 7092777773.
E-MAIL ID :parasudentalimplantcenter@gmail.com
website : www.chennaidentalimplantsclinic.com










No comments:
Post a Comment