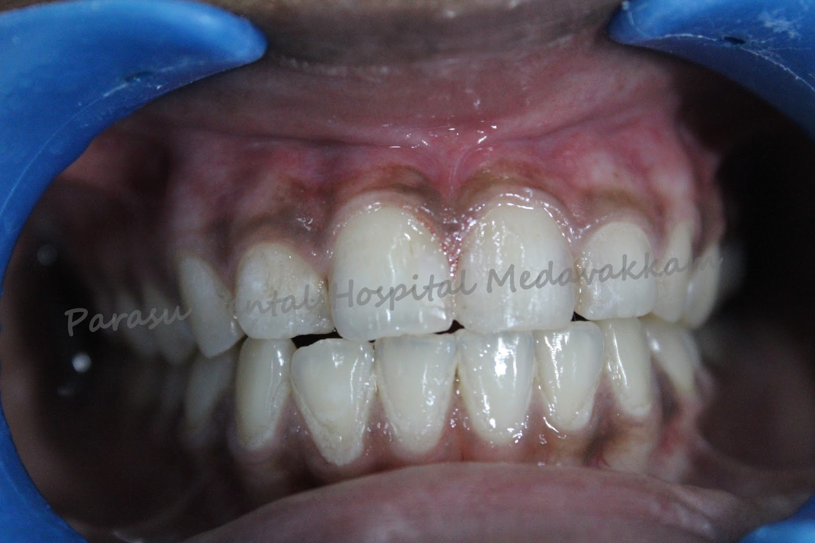
Patient Came with the complaint of broken tooth in the front region with unhappy Smile.
we advised composite tooth Color Filling Treatment . Now Patient is happy smile
PARASU DENTAL HOSPITAL AND IMPLANT CENTRE
Address:-
NO 39 ALAGIRI STREET,
VELACHERY- TAMBARAM MAIN ROAD,
SANTHOSAPURAM ,CHENNAI -73
CONTACT : +91 7299004333, + 91 9710442527.
E-MAIL ID :parasudentalimplantcenter@gmail.com
website :

No comments:
Post a Comment